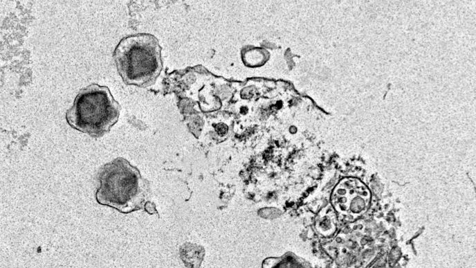
[ad_1] I virus giganti svolgono un ruolo importante nelle reti alimentari che caratterizzano gli ecosistemi acquatici. Infatti, questi microrganismi infettano organismi unicellulari come alghe e amebe, che formano la base delle catene alimentari marine. Così facendo, introducono il loro Dna…
I virus giganti svolgono un ruolo importante nelle reti alimentari che caratterizzano gli ecosistemi acquatici. Infatti, questi microrganismi infettano organismi unicellulari come alghe e amebe, che formano la base delle catene alimentari marine. Così facendo, introducono il loro Dna nella cellula ospite e ne modificano il metabolismo, potenzialmente influenzando fenomeni nocivi come l’eccessiva crescita delle alghe, anche nota come “fioritura”. Analizzando diversi set di dati metagenomici pubblici (ossia di materiale genetico ottenuto da campioni prelevati in questo caso da mari e oceani), due ricercatori della Rosenstiel School of Marine, Atmospheric, and Earth Sciences dell’Università di Miami (Stati Uniti) hanno identificato 230 visus giganti precedentemente sconosciuti e hanno cercato di caratterizzarne le funzioni. I risultati dello studio sono stati pubblicati su npj Viruses.
Virus giganti e fotosintesi
Gli autori della ricerca hanno individuato centinaia di proteine codificate dal materiale genetico dei virus giganti appena scoperti e mai riscontrate in precedenza all’interno di questo tipo di microrganismi. Alcune di queste sembrerebbero essere in qualche modo implicate nel processo di fotosintesi, attraverso il quale le piante e le alghe ottengono i nutrienti a partire da CO2, acqua e radiazioni solari. Ci ò sembra indicare che i virus giganti possano avere un ruolo nel contesto delle cosiddette fioriture: “Comprendendo meglio la diversità e il ruolo dei virus giganti nell’oceano e il modo in cui interagiscono con le alghe e altri microbi oceanici, possiamo prevedere ed eventualmente gestire le fioriture di alghe nocive, che rappresentano un pericolo per la salute umana in Florida e in tutto il mondo”, spiega Mohammad Moniruzzaman, che ha coordinato lo studio ed è docente presso il Dipartimento di biologia marina ed ecologia della Rosenstiel.
Quando le alghe crescono in modo esponenziale, infatti, causano una riduzione nell’ossigeno disciolto in acqua e impediscono inoltre alle radiazioni solari di penetrare in profondità. Complessivamente, le fioriture mettono quindi in pericolo la sopravvivenza di altre specie acquatiche, rischiando poi di impattare in modo negativo sull’intera rete trofica.
Un nuovo tool informatico per studiare i virus giganti
Come anticipato, per lo studio i due ricercatori hanno utilizzato il materiale genetico contenuto in nove database pubblici, derivante da campioni prelevati da mari e oceani sparsi per tutto il globo. Per analizzare questa grande mole di dati, hanno messo a punto un nuovo tool informatico che hanno battezzato con l’acronimo Beren (Bioinformatic tool for Eukaryotic virus Recovery from Environmental metageNomes). Beren, spiegano, è stato progettato per facilitare l’identificazione di genomi appartenenti a virus giganti a partire appunto da ampi database pubblici.
I nuovi genomi individuati nel corso della ricerca sono poi stati comparati con quelli dei virus giganti già noti per identificare eventuali nuove funzioni. “Questo studio – conclude Benjamin Minch, primo autore e studente di dottorato presso il Dipartimento di biologia marina ed ecologia della Rosenstiel – ci ha permesso di creare un quadro di riferimento per migliorare gli strumenti esistenti per rilevare nuovi virus, che potrebbe migliorare la nostra capacità di monitorare l’inquinamento e gli agenti patogeni nei nostri corsi d’acqua”.
